
摘要
患者男,38岁,因“胸痛3周”于2022年10月就诊我院,胸水B超:双侧胸腔积液。胸腔穿刺抽液:左侧胸腔积液前两次为血性,第三次(5天后)胸水转为淡黄色;右侧胸腔积液淡黄色,心包积液为淡血性,胸水及心包积液为渗出性,且胸水嗜酸性粒细胞显著升高,血嗜酸性粒细胞计数略偏高;左侧胸膜活检:胸膜纤维素性渗出伴组织浸润,嗜酸性粒细胞增多及间皮增生,胸膜组织NGS未找到明确致病原,追问病史患者入院前有电击损伤,考虑为电击伤后至心肌损伤、胸部钝挫伤,血胸,血性心包积液,经积极对症治疗及胸水、心包积液引流后胸水及心包积液基本吸收,随访1年未再出现胸腔积液。
关键词:血性胸腔积液、血性心包积液,嗜酸性粒细胞增多,电击伤
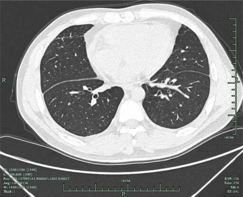
患者3周(2022年10月10日)前出现左前胸及侧胸疼痛,呈阵发性隐痛,能忍受,疼痛无放射性,否认疼痛时黑曚、汗出、否认畏寒发热等,社区医院用药(具体药名不详)后好转;1周前(10月23日)左侧胸部出现压榨痛,疼痛呈持续性不能缓解,伴胸闷气急,至县医院就诊:血常规:白细胞 11*10^9/L(3.5-9.5*10^9/L),血红蛋白及血小板正常;超敏C反应蛋白:67.95mg/L(0.00-3.30mg/L),心电图示:V2-V5导联ST段凹面向上稍抬高(图1);10月24日肺部CT示(图2):左肺散在炎症,左侧胸腔少量积液伴邻近肺组织膨胀不全,两肺散在纤维灶,心包积液,升主动脉增宽;10月24日心超示:三尖瓣反流,左室舒张功能减低,心包积液(心尖部心包分离约0.5cm),心动过速,EF:57%。
10月24日至10月30日(头孢哌酮舒巴坦2.0静脉滴注 每8小时一次联合盐酸莫西沙星针0.4静脉滴注 每日一次;)抗感染、呋塞米20mg及螺内酯20mg口服每日一次利尿等治疗胸痛逐渐加重,复查胸水增多。10月31日来我科住院进一步诊治。

图1 心电图如图提示

图2 肺部CT 肺窗提示 右侧胸腔积液,左侧胸腔积液引流后改变
既往史、个人史、婚育史及家族史均无殊。体格检查:体温36.5℃, 脉率78次/分, 呼吸频率22次/分,血压138/78mmHg(1mmHg=0.133kPa),SpO2为95%;全身浅表淋巴结未触及肿大,口唇无发绀,颈静脉无怒张,气管居中,甲状腺不大,胸廓对称,双肺呼吸运动减弱,触诊:两侧腋下区、肩胛下区语颤减弱,叩诊:两侧腋下区,肩胛下区叩诊呈实音,听诊:两侧腋下区、肩胛下区、肩胛间区呼吸音消失;心脏及腹部未见异常,双下肢无浮肿。
入院后血常规:白细胞 11.1*10^9/L,淋巴细胞%9.80%,单核细胞%13.30%,嗜酸性粒细胞%为7.80%,中性粒细胞7.60*1 0^9/L,单核细胞1.50*10^9/L,嗜酸性粒细胞绝对值:0.90*10^9/L,血小板454*10^9/ L,血D-二聚体 21462.0μg/L,血超敏C反应蛋白:76mg/L,血降钙素原(PCT)、血NAP积分、凝血常规正常范围;血生化:空腹血糖、肝肾功能血脂、心肌酶谱、电解质正常范围;结核感染T细胞检测阴性;血肿瘤标志物正常;血过敏原阴性、总IgE正常范围,血寄生虫抗体阴性,TORCH 阴性,血抗核抗体及ANCA阴性,类风湿因子阴性;
10月31日胸水超声:双侧胸腔积液(左侧所在液面深度约7.3cm。右侧所在液面深度约4.7cm)。左侧胸腔穿刺抽液:胸水外观呈淡血性,胸水常规:李凡他试验阳性,白细胞1000.00*10^6/L,红细胞60000.00*10^6/L;胸水细胞分类:嗜酸性粒细胞60%,中性粒细胞12%,淋巴细胞:24%;胸水生化:葡萄糖7.46mmol/L,乳酸脱氢酶279U/L,腺苷酸脱氨酶14.3U/L,全量程超敏CRP44mg/L,胸水肿瘤指标:糖类抗原125 321.30kU/L,角蛋白19片段 63.53 ug/L,鳞状细胞癌抗原 39.91ng/ml,胸水癌胚抗原正常范围,胸水铁蛋白 1366.0μg/L;胸水培养、抗核抗体、脱落细胞阴性;
心包腔B超:心包腔可见狭窄的无回声区,舒张期测量:心尖部深约1.3cm,行心包穿刺置管:心包穿刺液为血性液体:心包积液常规:白细胞 2400.00*10^6/L,红细胞 545000.00*10^6/L; 心包积液细胞分类:嗜酸性粒细胞36%,嗜中性粒细胞11%,淋巴细胞23%;心包积液超敏C反应蛋白;34mg/l,乳酸脱氢酶1089.00U/L,腺苷酸脱氨酶 22.90U/L;心包积液肿瘤标志物:角蛋白19片段 43.85μg/L,鳞状细胞癌抗原50.29ng/ml,铁蛋白6322.00μg/L,余肿瘤指标癌胚抗原、甲胎蛋白、糖类抗原15-3,、糖类抗原19-9正常范围;心包积液肿瘤细胞阴性;
11月3日拟行胸腔镜检查时突发心房扑动,监护提示房扑(2:1-4:1下传),心室率约120-170次/分,考虑存在急性心肌损伤,查肌钙蛋白、BNP、电解质正常范围,予可达龙针首剂150mg后续贯300mg 微泵维持复律,短期抗凝治疗(低分子肝素),2022.11.4 24h动态心电图:1.窦性心律(平均心率92次/分,最慢窦性心律66次/分,最快窦性心率119次/分);2.阵发性心房扑动/颤动,3.房性早搏89次,其中房性早搏单发14次,成对9次,短阵房速14 次,部分房早未下传;4.室性早搏1次;
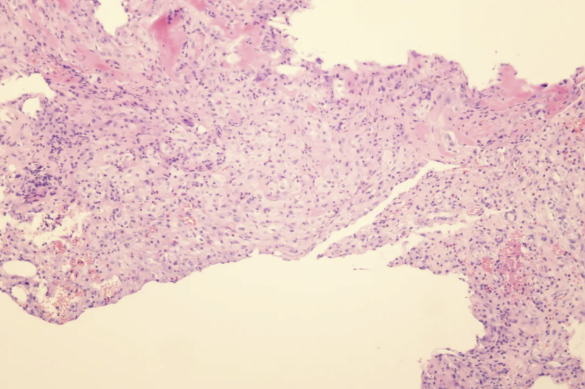
11月5日胸腔镜检查:胸腔镜进入左侧胸膜腔后吸引出约160ml淡黄色胸水,胸膜暴露后可见肺组织与前后壁层胸膜部分粘连,前后壁层胸膜大量弥漫性细小结节(图3),共活检胸膜15块送检病理,提示(左侧壁层胸膜胸腔镜活检)(图4)胸膜纤维素性渗出伴组织浸润,嗜酸性粒细胞增多及间皮增生,免疫组化结果:CK(+),CAM5.2(+),CD68(+背景),S100(-),Vimentin(+),Ki-67(+20%),TFE-3(+弱),CR(+部分),MC(+散在少量),EMA(-),CD163(+)。

图3 内科胸腔镜下见 壁层胸膜广泛渗血,胸膜表面弥漫性细小结节改变,部分区域脏壁层胸膜黏连样改变

图4 病理 HE染色 X100 倍 胸膜纤维素性渗出伴组织浸润,嗜酸性粒细胞增多及间皮增生
胸膜组织宏基因二代测序:未找到可疑致病菌,需怀疑的有米氏克雷伯菌1900序列,相对丰度4%,胸膜组织EXPERT阴性,胸膜组织TBRNA阴性,胸膜组织TB DNA阴性;
行全身PETCT检查(2022.11.11)结果回报:a.两侧胸腔积液(右侧为著),心包积液,两侧胸膜增厚粘连,PDG代谢未见明显异常增高;b.纵膈及两侧锁骨上窝多发淋巴结,PDG代谢轻度增高,考虑炎性淋巴结。
11.15 右侧胸腔置管引流;胸水常规:胸水淡黄色,李凡他试验:阳性,白细胞560.00*10^6/L,红细胞 1850.00*10^6/L;胸水细胞分类:嗜酸性粒细胞 48.00;胸水生化:葡萄糖 6.33mmol/L,乳酸脱氢酶 313U/L,腺苷脱氨酶14U/L,全量程超敏CRP 18.75mg/L;胸水肿瘤标志物无明显异常。
余相关辅助检查:腹部B超:肝胆胰腺脾脏未见异常,双肾、肾上腺未见异常。患者的胸腔积液在入院后历经5天时间从血性转为淡黄色,胸水未找到结核、真菌、肿瘤、寄生虫等依据……
住院过程中,追问患者为面馆老板,否认食用生鱼、醉虾、醉蟹等,回忆起患病前1周曾有一次修理摩托车过程中遭低压(220V)电击,当时有左侧胸痛,全身麻刺感,随后隐约觉得左侧胸痛,刺痛或隐痛,未重视;此次入院后经抗感染、胸水引流、心包积液引流等处理,复查胸水明显减少,心包积液减少,约半年随访复查肺部CT 两肺未见实质性病灶(图5),未见胸腔积液,未见心包积液,故此次胸腔积液及心包积液考虑低压电击后心肌损伤,胸部钝挫伤、血胸可能。

图5 2022-12-8复查肺部CT 两侧胸腔积液完全吸收,两肺未见实质性病灶。
讨论
1.双侧胸腔积液,心包积液,盆腔少量积液,属多浆膜腔积液,寻找多浆膜腔积液的原因;
2.胸水初期为血性,心包积液为血性,但在后期做胸腔镜时胸水转为淡黄色,原因值得探讨;
3.胸水嗜酸性粒细胞升高明显,血嗜酸性粒细胞轻度升高,未找到寄生虫感染依据,且治疗后病情好转,随访未再增多;
4.心包积液乳酸脱氢酶明显升高 心电图改变是否为电击后心肌损伤。
崔金瑜(呼吸与危重症医学科):
本病例特点:(1)青年男性,急性病程。(2)临床主要表现为左侧胸痛。(3)双侧胸腔积液,心包积液,临床观察中积液由血性转为淡黄色。(4)实验室检查血常规白细胞、嗜酸性粒细胞升高,血超敏C反应蛋白升高、胸腔积液及心包积液嗜酸性粒细胞升高明显,胸水多个肿瘤指标非特异性升高,血D二具体升高,铁蛋白升高。(5)胸膜活检未找到明确病原体依据,未找到肿瘤依据。
依据病史结合实验室检查及辅助检查,需与以下疾病鉴别。
(1)心功能不全,本患者既往无心脏基础疾病,本次入院前外院心电图有ST段凹面向上,且入院后有阵发性房扑、阵发性房颤发生,血BNP、心肌酶谱等指标正常范围,心脏超声未见结构及瓣膜异常,不能除外存在急性心肌损伤情况,但胸水为渗出液,且嗜酸性粒细胞升高明确,似乎无法单纯以心功能不全解释。
(2)结缔组织疾病,本患者年轻男性,浆膜炎(胸膜炎及心包炎),但患者无皮疹、血小板减少且自身抗体、抗核抗体、抗sm抗体、免疫球蛋白、补体C3、C4均阴性,故结缔组织疾病依据不足。
(3)心包胸膜间皮瘤 该病患者绝大部分有石棉接触史,病程早期有呼吸困难、胸痛和气促,病情后期因上腔静脉受阻及心包受累也可产生漏出液,但积液产生快、量多,可引起极度呼吸困难甚至窒息死亡,该患者血性胸腔积液、心包积液,呼吸困难、阵发性心律失常,无石棉接触史,胸腔积液未见间皮细胞,未找到肿瘤细胞,PET/CT 未见肿瘤征象,血清IgG、IgA、IgM正常。
(4)寄生虫感染:寄生虫感染后的肺部影像表现多样,可呈多形性和游走性的肺实变影、粟粒影、结节状影、继发性支气管扩张及纵膈淋巴结肿大和胸腔积液等,伴有嗜酸性粒细胞增多。本患者否认旅居史和生活史,病史及相关检查诊断依据不足。
(5)肿瘤性疾病:多种实体瘤转移伴有嗜酸性粒细胞增多均有报道,本患者PET/CT未发现实体肿瘤。
(6)肝硬化、慢性肾脏病等所致低蛋白血症多为漏出液,且有相关疾病史,本患者既往体健,血白蛋白正常,且胸水及心包积液为渗出液,故不考虑上述疾病可能。
(7)肺栓塞:患者既往否认实体肿瘤、否认近期手术外伤史、否认制动卧床、无下肢静脉曲张,入院后末梢经皮血氧饱和度96%,血气分析氧分压正常范围,心脏超声未见肺动脉增宽、右心室增大,肺动脉压增高等,故肺栓塞依据不足。
陈爱凤(呼吸与危重症医学科):
患者病史1月,患病过程中以胸痛为主要表现,血白细胞、嗜酸性粒细胞升高、血CRP升高,胸水及心包积液嗜酸性粒细胞、CRP升高明显,未找到感染、寄生虫、肿瘤依据。胸腔积液嗜酸性粒细胞增多(pleural fluid eosinophilia,PFE)也称为嗜酸性粒细胞性胸腔积液,是指胸腔积液的有核细胞计数中嗜酸性粒细胞含量超过10% [1]。据估计,约有10%的渗出性胸腔积液有嗜酸性粒细胞增多 [1,2]。导致嗜酸性粒细胞向胸腔募集的机制尚不十分清楚,空气或血液进入胸膜腔后发生胸腔积液和外周血嗜酸性粒细胞增多的时间进程表明 [3]:自发性气胸后数小时就可以出现PFE,而创伤性或出血性胸腔积液则是在其发生后10-14日才出现。研究表明,气胸、血胸、开胸手术、胸腔镜或反复胸膜腔穿刺这类胸膜刺激或创伤可导致PFE [4,5,6],自发性气胸是PFE最常见的原因。从出现血胸到发生PFE的时间更长,通常到第10日才会发生,并在随后数日出现外周血嗜酸性细胞增多 [7],另约25种药物与PFE有关,丙戊酸、呋喃妥因、丹曲林、格列齐特、替扎尼定、氟西汀、华法林的患者合并出现了血嗜酸性粒细胞增多 [8-12]。停用相关药物后几日内症状通常会开始改善,胸腔积液经过数月完全消失 [13],本患者既往体健,否认任何药物使用史,故不支持药物性原因。细菌、真菌、分枝杆菌、寄生虫和病毒引起的感染可导致PFE [1,9,14,17-19],本患者虽血白细胞,超敏C反应蛋白升高,但无发热,且胸膜活检及胸腔积液并未找到明确病原体,考虑为反应性升高可能。
反复追问病史:患者在入院前1月曾在修理摩托车时有接触裸露电线低压(220V)电击,当时有胸部刺痛,左手针刺样麻木感,脱离电源后症状缓解。电击伤后心律失常的总体发生率估计为15%,其中大多为良性(如窦性心动过速、心房颤动和室性期前收缩),在电击后的几个小时内发生 [20-24]。心室颤动是最常见的致命性心律失常,电流从一只手传导到另一只手时的发生率高达60% [25]。低压家用交流电较少致死,但特别容易引起心律失常,例如室性心律失常 [26-27]。电击伤可引起多种病理变化,电流的直接作用、电能转换为热能及机械性顿挫伤均可导致组织破坏和器官功能障碍。电击伤患者有可能发生呼吸或心脏并发症,以及烧伤和组织损伤,但往往难以诊断。心电图改变不能准确评估电击创伤后的心肌损伤,CK-MB升高的意义不明确 [28-32]。本患者在患病前1周左右曾有电击伤,因为低压电击,可能导致心肌及胸部损伤,故考虑入院后的心律失常(心房扑动)、心包积液和双侧大量胸腔积液的出现以及随着病情改善胸腔积液由血性转为淡黄色,血嗜酸性粒细胞也逐渐恢复正常,符合电击伤所致的心肌损伤及胸部顿挫伤后产生的一系列演变。
这是一个以胸腔积液、心包积液伴胸水、心包积液嗜酸性粒细胞升高、外周血嗜酸性粒细胞升高,且积液颜色从血性转变为淡黄色的过程,各项检查都比较规范,从无创、微创再到有创循序渐进,且病史询问细致,各种病因逐一排查,最后诊断: 多浆膜腔积液 电击伤所致 心功能不全 心律失常。
本例患者诊疗过程的经验教训:(1)对于多浆膜腔积液伴外周血嗜酸性粒细胞升高的患者,应从多方面进行病因分析,排除非感染性、肿瘤性等原因,寻找可治愈的原因如感染、损伤等;(2)电击伤特别是低压损伤导致的心律失常多见,但多浆膜腔积液及嗜酸性细胞增高未见报道,且积液颜色从血性转变为淡黄色,给临床医生带来新的认识;(3)在临床诊断存在困难时,临床医生需反复询问病史,深入细致分析不漏过每一个细节,同时也需要与病理科医生沟通、反复分析临床影像与病理特征之间的关系,寻找诊断线索。
参考文献
1. Martínez-García MA, Cases-Viedma E, Cordero-Rodríguez PJ, et al. Diagnostic utility of eosinophils in the pleural fluid. Eur Respir J 2000; 15:166.
2. Kalomenidis I, Light RW. Eosinophilic pleural effusions. Curr Opin Pulm Med 2003; 9:254.2.
3. Heidecker J, Kaplan A, Sahn SA. Pleural fluid and peripheral eosinophilia from hemothorax: hypothesis of the pathogenesis of EPE in hemothorax and pneumothorax. Am J Med Sci 2006; 332:148.
4. Krenke R, Nasilowski J, Korczynski P, et al. Incidence and aetiology of eosinophilic pleural effusion. Eur Respir J 2009; 34:1111.
5. Adelman M, Albelda SM, Gottlieb J,et al. Diagnostic utility of pleural fluid eosinophilia. Am J Med 1984; 77:915.
6. Wysenbeek AJ, Lahav M, Aelion JA, et al. Eosinophilic pleural effusion: a review of 36 cases. Respiration 1985; 48:73.
7. Martínez García MA, Cases Viedma E, Perpiñá Tordera M, et al. Repeated thoracentesis: an important risk factor for eosinophilic pleural effusion? Respiration 2003; 70:82.
8. Huggins JT, Sahn SA. Drug-induced pleural disease. Clin Chest Med 2004; 25:141.
9. Behnia M, Dowdeswell I, Vakili S. Pleural fluid and serum eosinophilia: association with fluoxetine hydrochloride. South Med J 2000; 93:611.
10. Kuwahara T, Hamada M, Inoue Y, et al. Warfarin-induced eosinophilic pleurisy. Intern Med 1995; 34:794.
11. Kaufman J, O'Shaughnessy IM. Eosinophilic pleural effusion associated with valproic acid administration. South Med J 1995; 88:881.
12. Bunker CB, Sheron N, Maurice PD, et al. Isotretinoin and eosinophilic pleural effusion. Lancet 1989; 1:435.
13. Huggins JT, Sahn SA. Drug-induced pleural disease. Clin Chest Med 2004; 25:141.
14. Murphy PP, Richardson SG. Q fever pneumonia presenting as an eosinophilic pleural effusion. Thorax 1989; 44:228.
15. Ishii H, Mukae H, Inoue Y, et al. A rare case of eosinophilic pleuritis due to sparganosis. Intern Med 2001; 40:783.
16. Emad A. Exudative eosinophilic pleural effusion due to Strongyloides stercoralis in a diabetic man. South Med J 1999; 92:58.
17. Gupta K, Sehgal A, Puri MM, et al. Microfilariae in association with other diseases. A report of six cases. Acta Cytol 2002; 46:776.
18. Gentilini M, Carme B, Smith M, et al. A case of eosinophilic pleurisy due to Dracunculus medinensis infection. Trans R Soc Trop Med Hyg 1978; 72:540.
19. Crum NF, Lederman ER, Stafford CM, et al. Coccidioidomycosis: a descriptive survey of a reemerging disease. Clinical characteristics and current controversies. Medicine (Baltimore) 2004; 83:149.
20. Purdue GF, Hunt JL. Electrocardiographic monitoring after electrical injury: necessity or luxury. J Trauma 1986; 26:166.
21. Das KM. Electrocardiographic changes following electric shock. Indian J Pediatr 1974; 41:192.
22. DiVincenti FC, Moncrief JA, Pruitt BA Jr. Electrical injuries: a review of 65 cases. J Trauma 1969; 9:497.
23. Fatovich DM, Lee KY. Household electric shocks: who should be monitored? Med J Aust 1991; 155:301.
24. Solem L, Fischer RP, Strate RG. The natural history of electrical injury. J Trauma 1977; 17:487.
25. Spies C, Trohman RG. Narrative review: Electrocution and life-threatening electrical injuries. Ann Intern Med 2006; 145:531.
26. Voroshilovsky O, Qu Z, Lee MH, et al. Mechanisms of ventricular fibrillation induction by 60-Hz alternating current in isolated swine right ventricle. Circulation 2000; 102:1569.
27. Swerdlow CD, Olson WH, O'Connor ME, et al. Cardiovascular collapse caused by electrocardiographically silent 60-Hz intracardiac leakage current. Implications for electrical safety. Circulation 1999; 99:2559.
28. Ku CS, Lin SL, Hsu TL, et al. Myocardial damage associated with electrical injury. Am Heart J 1989; 118:621.
29. Xenopoulos N, Movahed A, Hudson P, et al. Myocardial injury in electrocution. Am Heart J 1991; 122:1481.
30. McBride JW, Labrosse KR, McCoy HG, et al. Is serum creatine kinase-MB in electrically injured patients predictive of myocardial injury? JAMA 1986; 255:764.
31. Kinney TJ. Myocardial infarction following electrical injury. Ann Emerg Med 1982; 11:622.
32. Kirchmer JT Jr, Larson DL, Tyson KR. Cardiac rupture following electrical injury. J Trauma 1977; 17:389.
专家介绍

陈爱凤
杭州市红十字会医院呼吸与危重症医学科,主任医师,科室副主任,杭州市医学会呼吸病分会委员,杭州市医学会感染分会委员,擅长疑难危重症感染性疾病诊治,慢性气道疾病、慢性咳嗽诊治,主要研究方向:支气管扩张合并感染机制研究。

余仙娟
杭州市红十字会医院 呼吸与危重症医学科 主治医师;毕业于温州医科大学 医学硕士;浙江省中西医结合学会呼吸病专业委员会青年委员。

崔金瑜
杭州市红十字会医院呼吸与危重医学科 主治医师;杭州市中西医结合学会呼吸分会秘书。
特别感谢本文作者给《呼吸界》的投稿!
* 文章仅供医疗卫生相关从业者阅读参考
本文完
责编:Jerry