
摘要
随着新冠病毒感染大流行后,新冠病毒导致的并发症和长期后遗症困扰着很多患者,其中呼吸困难较为常见,国外已报道少数病例是由新冠病毒感染后膈肌功能障碍引起,然而国内尚未见相关报道。本文报道了2例新冠病毒感染后呼吸困难患者,入院后通过动态X线胸片发现患者存在膈肌功能障碍,进一步完善膈肌超声、神经电生理检查、跨膈压测定、头颅MRI以及自身免疫性疾病的抗体检测等检查后,最终确定病因分别是新冠病毒感染诱发的重症肌无力以及新冠病毒感染导致的膈神经和膈肌病变。经过治疗,2例患者症状均有所改善。本文结合相关文献回顾对该病的进行总结分析,旨在提高临床医生对该病诊治的认识。
病例1
患者男,77岁,因“胸闷、气促1个月余”于2023年2月21日入院。患者2023年1月初感染新冠病毒(轻型),未行抗病毒治疗,康复后仍然存在胸闷、气促,活动及进食后加重,难以离开房间活动,伴夜间憋醒,进食后腹胀,无低热、盗汗、胸痛等不适。患者曾多次于当地医院就诊,胸部CT可见少许慢性炎症表现。给予抗感染、噻托溴铵吸入、中药等治疗后(具体不详),症状未明显缓解。患者既往有高血压病史8年,口服硝苯地平降压治疗。家族史无特殊。
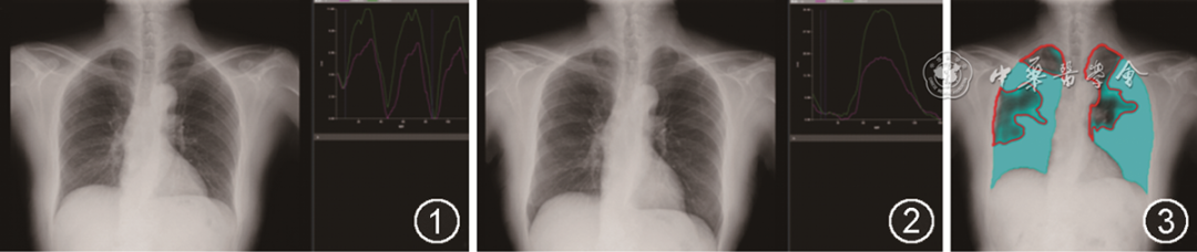
入院体检:生命体征平稳,双肺呼吸音清晰,未闻及干湿性啰音,无胸膜摩擦音,心腹未见异常,双下肢无浮肿。改良呼吸困难指数(modified Medical Research Council,mMRC):4级。入院动脉血气分析:pH值为7.428,PaO2为93.75 mmHg(1 mmHg=0.133 kPa),PaCO2为32.93 mmHg,HCO3-为21.40 mmol/L,OI为446 mmHg;MYO为73.38 μg/L,CK-MBm为2.41 μg/L,CK为133 U/L,CRP为2.12 mg/L。血常规、肝功能、肾功能、血电解质、甲状腺功能、凝血功能、D-二聚体、肿瘤标志物、真菌D葡聚糖、痰培养、心肌酶谱、Pro-BNP、自身抗体全套等检验结果未见明显异常。肺通气功能、弥散功能基本正常(VC 3.88L,FVC 3.88L,FEV1 3.09 L,FEV1占预计值%:130.4%,FEV1/FVC:79.68%)。FENO为13 ppb。X线胸片未见异常。肺动脉CTA(CT pulmonary angiogram,CTPA)未见肺动脉栓塞,可见右肺下叶后基底段少许慢性炎症表现。动态X线胸片(Dynamic Chest Radiography,DCR)检查提示膈肌移动度低于正常值(2023年2月21日平静呼吸膈肌移动度,右侧为8.40 mm,左侧为11.60 mm;尽力呼吸膈肌移动度,右侧为19.60 m m,左侧为34.40 mm),通气情况差(双肺灰色区域占双肺的39%),见图1, 2, 3。

图1 例1患者动态X线胸片(2023年2月21日)可见平静呼吸膈肌移动度右侧为8.40 mm,左侧为11.60 mm
图2 例1患者动态X线胸片(2023年2月21日)可见尽力呼吸膈肌移动度右侧为19.60 mm,左侧为34.40 mm
图3 例1患者动态X线胸片(2023年2月21日)可见肺通气显像双肺灰色区域占双肺的39%
进一步行膈肌超声检查提示双侧膈肌厚度偏薄(以右侧为主),双侧膈肌增厚率增高[膈肌厚度(平静呼吸):右侧0.16 cm,左侧0.19 cm;膈肌增厚率(吸气末厚度-呼气末厚度)/呼气末厚度:右侧为125%,左侧为109%]。神经内科体检示双眼上视1 min后无上睑下垂,轻微声嘶,双侧软腭上抬较差,舌肌未见萎缩,四肢肌力、肌张力正常,疲劳试验阳性。肌电图示:右侧正中神经F波出现率低,双侧副神经重频试验可疑阳性。重症肌无力抗体均为阴性,颈椎和头颅核磁共振成像检查未见异常。经与神经内科会诊考虑为神经肌肉接头病变:重症肌无力(抗体阴性)。诊断性服用溴吡新斯的明(60 mg/次,4次/d),症状有所改善。疲劳试验转阴。胸闷、气促及夜间憋醒好转,活动耐力增加,可外出散步。mMRC:2级。
复查动态X线胸片提示膈肌移动度、肺通气情况较前好转后出院(2023年3月13日平静呼吸膈肌移动度,右侧为13.20 mm,左侧为14.00 mm;尽力呼吸膈肌移动度,右侧为16.00 mm,左侧为26.80 mm;肺通气显像:双肺灰色区域占双肺的28%),见图4, 5, 6)。
出院后3个月后电话随访,患者胸闷气促症状完全缓解,已停用新斯的明,病情无反复,患者可正常工作生活。
图4 例1患者动态X线胸片(2023年3月13日)可见平静呼吸膈肌移动度右侧为13.20 mm,左侧为14.00 mm
图5 例1患者动态X线胸片(2023年3月13日)可见尽力呼吸膈肌移动度右侧为16.00 mm,左侧:26.80 mm
图6 例1患者动态X线胸片(2023年3月13日)可见肺通气显像双肺灰色区域占双肺的28%
病例2
患者女,57岁,因“胸闷、气促3个月余”于2023年2月27日入院。患者2022年11月感染新冠病毒(轻型),未行抗病毒治疗,康复后持续出现胸闷、气促,无低热、盗汗、胸痛、咯血等不适。1个月前患者气促加重,表现为平躺时及快走时出现胸闷、气促,坐位休息后好转。既往史无特殊。家族史无特殊。
入院体检:生命体征平稳,坐位氧饱和度为95%,平卧位氧饱和度为80%,双肺呼吸音弱,未闻及干湿性啰音,心腹未见异常,双下肢无浮肿。mMRC:3级。入院动脉血气分析(卧位):pH值为7.44,PaO2为49 mmHg,PaCO2为44 mmHg,HCO3-为29.9 mmol/L,OI为233 mmHg(↓);CRP为0.14 mg/L,ProCT为0.031 μg/L;血常规、电解质、D-二聚体、总IgE、呼吸道感染病原体IgM9项、真菌D葡聚糖、痰培养、心肌酶谱、Pro-BNP、自身抗体全套等检验结果未见明显异常。患者肺功能检查显示重度混合性通气功能障碍,VC为1.24 L,FVC为1.24 L,FEV1为0.86 L,FEV1占预计值%为39.1%,FEV1/FVC为69.13%,舒张试验阴性(-),无法配合完成肺弥散功能检查。FENO为13 ppb。X线胸片可见左侧膈肌抬高,部分实变伴不张表现,见图7。CTPA(俯卧位-因无法平卧改为俯卧位)未发现肺栓塞,可见双下肺底多发炎症,部分实变伴不张表现,见图8。

图7 例2患者X线胸片(2023年2月28日)可见左侧膈肌抬高
图8 例2患者肺部增强CT(2023年3月1日)可见未发现肺栓塞,双下肺底多发炎症,部分实变伴不张
动态X线胸片检查示膈肌移动度低于正常值(2023年2月28日平静呼吸膈肌移动度,右侧为13.2 mm,左侧为9.6 mm;尽力呼吸膈肌移动度,右侧为36.8 mm,左侧为24.8 mm),见图9, 10, 11。

图9 例2患者动态X线胸片(2023年2月28日)可见平静呼吸膈肌移动度右侧为13.2 mm,左侧为9.6 mm
图10 例2患者动态X线胸片(2023年2月28日)可见尽力呼吸膈肌移动度右侧为36.8 mm,左侧为24.8 mm
图11 例2患者动态X线胸片(2023年2月28日)可见肺通气显像双肺灰色区域占双肺的6.8%
膈肌超声示:双侧膈肌厚度测值未见明显异常(平静呼吸厚度右侧为0.25 cm,左侧为0.24 cm);右侧膈肌运动幅度测值未见明显异常,左侧膈肌运动幅度测值偏低(平静呼吸右侧为1.8 cm,左侧为0.8 cm)。神经电生理检查示:左正中神经感觉神经动作电位波幅(sensory nerve action potential,SNAP)降低、感觉神经传导速度(sensory nerve conduction velocity,SCV)减慢,左正中神经损害,左侧膈神经末梢潜伏期较对侧延长,复合肌肉动作电位(compound muscle action potential,CMAP)波幅降低,左侧膈神经损害;右侧正常。跨膈压测定示:最大吸气膈肌肌电降低,双侧膈神经动作电位及颤搐性跨膈压均未能明显引出。重症肌无力、特发性炎性肌病相关抗体均为阴性。入院后给予抗感染治疗、肺功能康复训练、支气管扩张剂雾化吸入治疗、高流量吸氧,患者呼吸困难无明显改善,由于患者平躺时呼吸困难症状严重,未能进行磁共振检查。
综合上述检查结果,我们考虑为新冠病毒感染导致的膈神经和膈肌病变,给予甲泼尼龙琥珀酸钠(40 mg/d)静脉滴注、丙种球蛋白(20 g/d)、营养神经、夜间予无创通气、持续气道正压通气(continuous positive airway pressure,CPAP)治疗后,患者平躺时呼吸困难较前明显好转,氧饱和度为92%。mMRC:1级。动态X线胸片提示平静呼吸左侧膈肌移动度较前上升(2023年3月21日平静呼吸膈肌移动度右侧为12.8 mm,左侧为10.4 mm;尽力呼吸膈肌移动度,右侧为24.8 mm,左侧为20.8 mm;肺通气显像双肺灰色区域占双肺的12%),见图12, 13, 14。

图12 例2患者动态X线胸片(2023年3月21日)可见平静呼吸膈肌移动度右侧为12.8 mm,左侧为10.4 mm
图13 例2患者动态X线胸片(2023年3月21日)可见尽力呼吸膈肌移动度右侧为24.8 mm,左侧为20.8 mm
图14 例2患者动态X线胸片(2023年3月21日)可见肺通气显像双肺灰色区域占双肺的12%
出院1周后对患者进行随访,患者已能平卧正常呼吸,动态X线胸片提示平静呼吸和尽力呼吸左侧膈肌移动度情况均较前上升,肺通气情况好转(2023年3月30日平静呼吸膈肌移动度,右侧为15.6 mm,左侧为13.6 mm;尽力呼吸,右侧为26.4 mm,左侧为31.2 mm;肺通气显像双肺灰色区域占双肺的10%),见图15, 16, 17。

图15 例2患者动态X线胸片(2023年3月30日)可见平静呼吸膈肌移动度右侧为15.6 mm,左侧为13.6 mm
图16 例 2患者动态X线胸片(2023年3月30日)可见尽力呼吸膈肌移动度右侧为26.4 mm,左侧为31.2 mm
图17 例2患者动态X线胸片(2023年3月30日)可见肺通气显像双肺灰色区域占双肺的10%
讨论
世界卫生组织(WHO)对新冠后症状(post COVID-19 condition)定义为:感染新冠病毒后3个月仍然存在或逐步发展起来的新症状,持续超过 2 个月,且无法用其他原因解释[1]。据估计,80%的新冠病毒感染者康复后出现一种或多种长期症状,呼吸困难是临床常见的就诊主诉[2]。
任何影响膈神经传递或膈肌功能的疾病都可能导致膈肌功能障碍[3]。研究表明,新冠病毒可损伤神经和肌肉系统,导致嗅觉丧失、味觉障碍、Guillain-Barré综合征(GBS)、重症肌无力、肌炎、肌痛、横纹肌溶解、肌肉萎缩和危重性肌病等[4, 5, 6, 7]。因此,膈肌功能障碍在新冠重症患者住院期间也十分常见。
根据研究结果显示[8, 9, 10, 11, 12, 13, 14, 15, 16],新冠患者康复后出现持续呼吸道症状与膈肌功能障碍有关。一项前瞻性研究[8]发现,在132例感染新冠病毒后3~4个月出现持续呼吸道症状的患者中,有13例出现膈肌功能障碍。另一项研究[14]纳入了10例曾因新冠合并ARDS而进入ICU治疗的患者,发现在出院1年后,有6例持续呼吸困难的患者膈肌功能受损。Regmi等[15]纳入了先前因新冠住院治疗出院15个月后的50例患者,发现约三分之二的患者出现中度或重度呼吸困难,且与跨膈压明显受损有显著相关性。
在目前已发表的病例报道中,病因包括膈神经受损、膈肌麻痹、Guillain-Barré综合征、重症肌无力和睾酮低水平等[17, 18, 19, 20, 21, 22, 23, 24, 25, 26, 27, 28, 29],与以往常见的病因(如脓毒症、机械通气及药物)不同[30, 31]。本文报道的2例病例均为轻型新冠感染病例,未接受机械通气及使用激素,因此排除常见病因,最终确诊1例为新冠病毒感染导致的重症肌无力,另1例为新冠病毒感染导致的膈神经和膈肌病变。而且经过针对性治疗后,2例患者的症状逐步好转。
目前评估膈肌功能的传统检查方法包括跨膈压测定、膈肌超声和肺功能检查[32, 33]。然而,由于跨膈压测定为有创操作,神经电生理检查为非常规检查,以上检查手段均不易开展及普及。动态X线胸片技术能实时连续拍摄运动中的胸部图像,能够清楚地识别矛盾的膈膜运动,比较适合用于诊断膈肌功能障碍[34],结果与标准透视或超声检查结果一致。
新冠病毒感染后膈肌功能障碍的治疗主要针对病因和症状,病因明确的首先需治疗引起膈肌功能障碍的原发疾病,如新冠病毒感染引发的重症肌无力、多发性神经病等,采用新斯的明、激素、静脉注射免疫球蛋白、血浆置换等针对性治疗[17, 18, 19, 20, 21, 22, 23, 24, 25, 26, 27, 28, 29]。病因不明确的,可经验性使用激素,营养神经肌肉治疗,配合早期康复训练和呼吸肌训练改善膈肌功能[35, 36, 37, 38, 39]。此外,还有无创正压通气、膈肌折叠和膈肌起搏等治疗方法可供选择。新冠病毒感染膈神经或膈肌后,神经肌肉损伤的恢复需要时间。研究发现,膈肌功能恢复可能需要长达3年的时间,平均恢复时间为14.9个月[40]。在已报道的13个病例中,仅74%的患者在治疗后有改善。
当临床医师遇到无法解释的新冠病毒感染后呼吸困难时,可以利用动态X线胸片、膈肌超声等进行膈肌功能障碍的筛查,以避免漏诊和误诊。
参考文献(略)
作者:余冬 黄文棋 詹永忠 肖冠华 李婧 佟万成 蔡绍曦 刘来昱;单位:南方医科大学南方医院呼吸与危重症医学科
引用本文: 余冬, 黄文棋, 詹永忠, 等. 新型冠状病毒感染后膈肌功能障碍2例 [J] . 中华结核和呼吸杂志, 2024, 47(3) : 244-248. DOI: 10.3760/cma.j.cn112147-20230825-00106.
本文转载自订阅号「中华结核和呼吸杂志」
* 文章仅供医疗卫生相关从业者阅读参考
本文完
责编:Jerry